Gliomas

Brain gliomas are second commonest brain tumors after metastases.

They can present as a minor headache to loss of consciousness.

They are divided depending upon cells of their origin

  1. Astrocytes- Astrocytoma
  2. Oligodendrocytes- Oligodendndrogliomas
  3. Ependymocytes- Ependymomas

Out of all Astrocytomas are commonest amongst gliomas.

They are further classified as

  1. Grade 1- Pilocytic astrocytoma, DNET
  2. Grade 2- Astrocytoms, Oligodendgrogliomsa
  3. Grade 3- Anaplastic Astrocytomas, Anaplastic oligodendrogliomas
  4. Grade 4- Glioblastoma multiforme (GBM)

Life expectancy worsens with increase in the grade of the gliomas.

Grade

Life expectancy

Grade 1

Near normal or 35 yrs

Grade 2

15-17 yrs

Grade 3

5-7 yrs

Grade 4

6months to 1 year

 

Treatment options-

  1. Microsurgical excision-

Most important option at present.

It gives histopathological diagnosis i.e. the nature and grade of the tumor

Helps in cytoreduction by removing portion of tumor or complete tumor removal

  1. Radiation-

Most of the tie is an adjuvant treatment

Help in controlling the disease after surgical excision.

  1. Chemotherapy-

It enhances the effect of radiation, hence a low dose Temozolomide®is often given during the radiation cycles.

High dose of Temozolomide is offered after completion of radiation, mostly for 6 months.

 

 

 

 

Glioblastoma Multiforme

 

55 M

Focal seizures since 6months

Right side weakness since 15 days

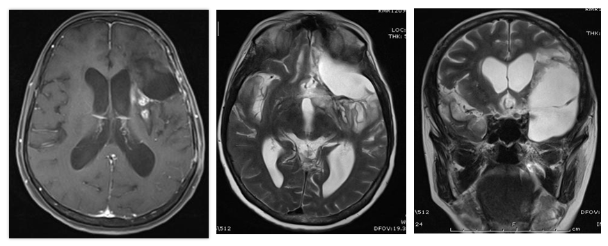
Grade 3 Astrocytoma-

45 / F

Weakness right side

Dysphasia